近日,山東第一醫科大學附屬省立醫院(山東省立醫院)中心院區胸外科一病區劉相燕主任帶領團隊完成一例復雜縱隔腫瘤手術。術后患者恢復良好,已順利康復出院。
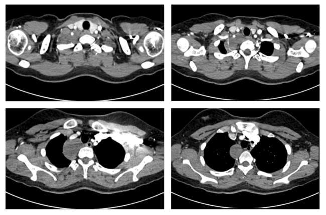
患者是一名來自新疆的19歲女生,在校期間一次常規體檢中偶然發現后縱隔腫物。因腫物位置特殊,患者及家屬在當地多家醫院輾轉求醫,最終慕名到省立醫院劉相燕主任處就診。入院后,患者完善了胸部CT平掃+增強檢查,影像顯示,腫物上緣至甲狀腺水平,向下沿氣管及食管走行,累及長度近6厘米,與右鎖骨下動脈關系密切,幾乎完全包繞椎動脈。此外,腫瘤已累及交感神經,緊鄰臂叢神經,術中稍有不慎極易損傷重要的血管、神經,導致嚴重的并發癥。這極大增加了手術難度與風險,對手術團隊提出了挑戰。針對患者復雜的病情,劉相燕主任帶領團隊制定了詳盡的手術方案,就手術切口選擇、術中突發狀況應急處理以及術后生命體征與神經功能監測等環節均進行了充分討論與周密準備。

患者術前胸部增強CT影像資料
經過充分的術前評估與積極準備,患者及時接受了手術治療。因患者腫瘤與周圍重要血管、神經界限不清,同時,由于胸廓出口位置特殊,血管及神經顯露困難,手術操作空間嚴重受限。術中,劉相燕主任結合術前增強CT影像精準確認并逐一離斷腫瘤的多支滋養動脈,將血管、神經充分游離后完整切除腫瘤,并完整保留相關血管、神經功能。整臺手術歷時三個多小時,最終順利完成?;颊咝g后恢復良好,術后第6天便順利出院返回新疆,目前已恢復正常的學習和生活。

術中情況及完整切除的腫瘤

術后病理報告單

患者向劉相燕主任贈送錦旗
劉相燕主任表示,胸廓出口部空間狹小,重要組織結構多,毗鄰復雜,對于原發/累及胸廓出口部的巨大腫瘤,手術顯露困難,操作空間嚴重受限,因此,外科治療極具挑戰性。
原發/累及胸廓出口部的腫瘤起源復雜,常見的有后縱隔神經源性腫瘤,肺源性腫瘤,胸膜纖維瘤及肉瘤等,其中神經源性腫瘤及肺源性腫瘤占絕大部分。成人常見的胸廓出口部巨大腫瘤多為良性神經源性腫瘤,對于中老年患者,多數為神經鞘瘤,而對于青年患者則神經纖維瘤相對多見?;颊叱o明顯癥狀,腫瘤較大時可出現相應組織結構受壓所致的癥狀,如腫瘤壓迫頸部交感神經所致的Horner綜合征等。而對于惡性腫瘤,如肺上溝瘤等,患者往往會在腫瘤外侵時出現上肢疼痛、肌力下降、胸背部不適等癥狀。
近年來,省立醫院胸外科一病區已成功完成數十例復雜胸部腫瘤手術,其中約30%為原發/累及胸廓出口部的腫瘤。團隊經過多年的積累,不斷創新術式,同時在重要血管的保護、神經功能的保留等方面取得了良好效果。下一步,科室將繼續依托醫院強大的綜合實力,為更多復雜縱隔腫瘤患者提供優質的醫療服務。(來源:山東第一醫科大學附屬省立醫院)